一般歯科

CASE 症例紹介

  • Top
  • 症例紹介
50代 女性 【インプラント治療】
  • インプラント
  • インプラント

治療内容

右上奥歯にインプラントを希望して来院されました。他院では骨がないためインプラントは出来ないと言われたとのことでしたが、サイナスリフト(上顎洞底挙上術)を行うことで骨の高さが3mmから14mmまで増加しました。

治療期間・回数

治療回数:サイナスリフトは一度の手術で終わります。その後インプラントの手術が必要になります。
治療期間:サイナスリフトを行いしっかりした骨が出来るのは約6ヶ月かかります。その後にインプラント治療を行います。

費用

サイナスリフト:¥200,000(税込220,000)

リスク・副作用

上顎洞底の粘膜を持ち上げて、そこに骨を作る手術になります。粘膜は1mm程度の薄い膜のため持ち上げる際に穿孔(穴が開く)する場合があります。小さい穴であれば閉鎖することが出来ますが、大きな穴が開くと再度手術になる場合があります。術後に腫れ、痛み、出血、感染のリスクがあります。
50代 女性 【インプラント治療】
  • インプラント
  • インプラント

治療内容

歯が痛いとのことで来院されました。歯を確認すると歯が縦に破折しており、保存不可と判断し抜歯となりました。抜歯後はインプラント治療を希望したため、抜歯即時埋入手術を行いました。

治療期間・回数

抜歯即時インプラント埋入は、歯を抜いてからインプラント埋入まで一度の手術で治療出来ます。手術後は、約4ヶ月の待機期間をおいて上部構造(クラウン)を作成します。

費用

インプラント治療 ¥480,000(税込528,000)

リスク・副作用

手術後にかなり軽微ではありますが腫れ、痛み、出血を伴います。感染のリスク、インプラント脱落のリスクがあります。
50代 女性 【インプラント治療】
  • インプラント仮歯
  • インプラント仮歯

治療内容

左下奥歯にインプラントを希望して来院されました。もともとはブリッジが入っていたそうですが、ブリッジの支えの歯が抜歯になりインプラント治療を行うこととなりました。幸い、インプラントを埋入することの出来る骨がたくさんあったので、リスクなく治療を終えることが出来ました。

治療期間・回数

治療回数:約6回
治療期間:約4ヶ月

費用

インプラント:¥480,000(税込528,000)

リスク・副作用

手術後にかなり軽微ではありますが腫れ、痛み、出血を伴います。感染のリスク、インプラント脱落のリスクがあります。
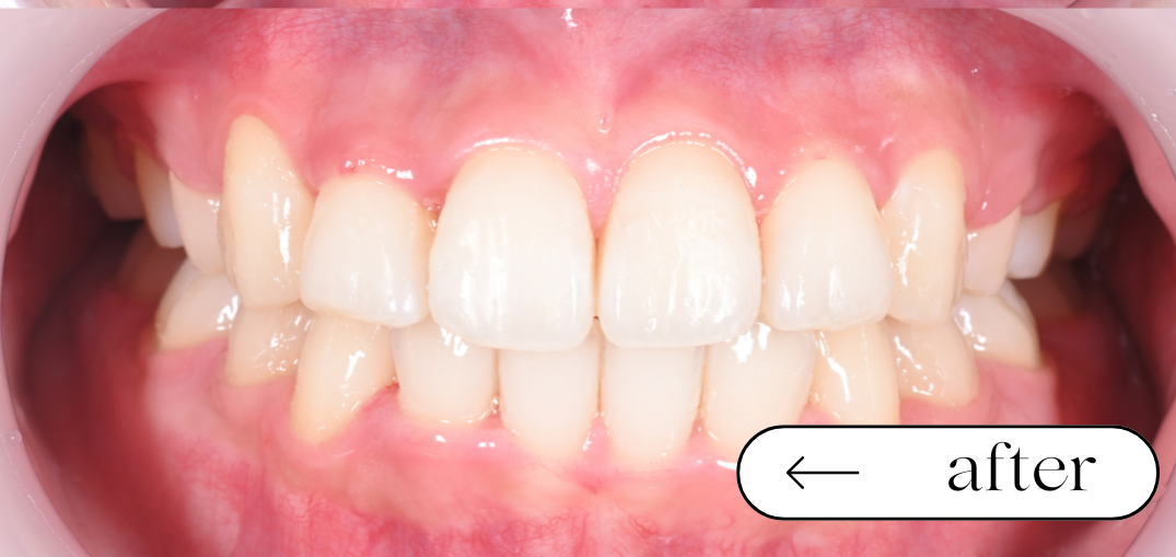
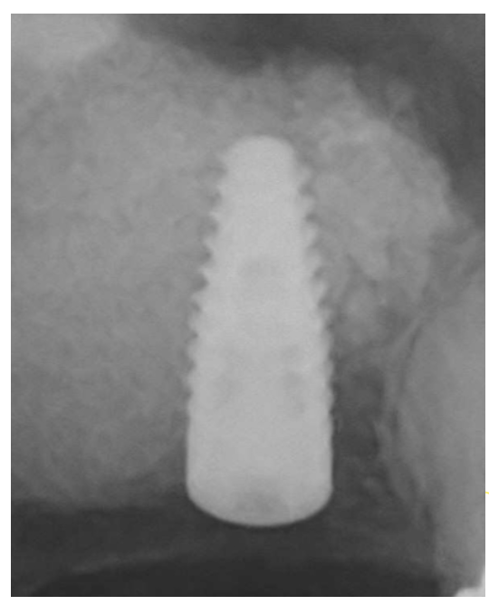
50代 女性 【インプラント治療】
  • インプラント画像
  • インプラント画像

治療内容

前歯に入れ歯をいれており隣の歯がグラグラして抜歯になると言われた患者様です。一番前の歯のないところはインプラント、二番目はセラミックで治療を行いました。精密に治療することでぐらつきもなくなり、歯を抜かずに治療出来ました。

治療期間・回数

治療回数:約8回
治療期間:約8ヶ月

費用

インプラント:¥480,000(税込528,000)

リスク・副作用

手術後にかなり軽微ではありますが腫れ、痛み、出血を伴います。感染のリスク、インプラント脱落のリスクがあります。
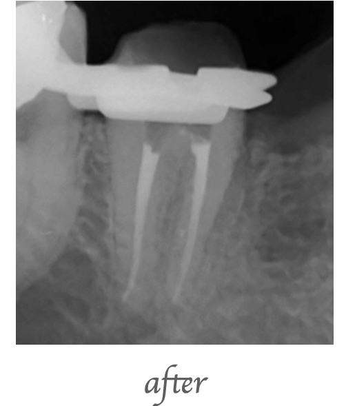
40代 女性 【根管治療】
  • 精密根管治療
  • 精密根管治療

治療内容

右下奥歯の被せの脱離でこられた患者様です。右下の歯の精密根管治療を行いました。

治療期間・回数

治療期間:約2週間 治療回数:3回

費用

¥130,000(税込143,000)

リスク・副作用

処置直後2〜3日は軽微な痛みが出ることがあります。再感染・症状の改善を認めない場合があります。
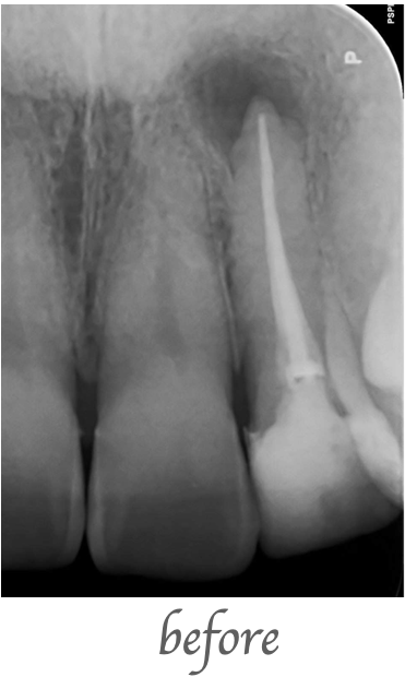
40代 男性 【根管治療】
  • 根管治療
  • 根管治療

治療内容

レントゲンで左上の前歯の根の先に大きな病巣が見つかったため、精密根管治療を行いました。ラバーダムを行い、歯科用顕微鏡(マイクロスコープ)、ニッケルチタンファイル、MTAセメントを使用し根管充填を行いました。

治療期間・回数

治療期間:約2週間 治療回数:2回

費用

¥70,000(税込77,000)

リスク・副作用

治療直後に軽微な痛みが出ることがあります。根尖病巣の再発、症状改善が認められない場合があります。
10代 女性 【矯正治療】
  • 八重歯の矯正BeforeAfter 2年 高校生女性
  • 八重歯の矯正BeforeAfter 2年 高校生女性

治療内容

八重歯が目立つ、前歯の中心のずれが気になるとのことで来院されました。便宜抜歯を行い、矯正治療により歯並びや咬み合わせの改善を行いました。

治療期間・回数

期間:1年8ヶ月 回数:月1回受診

費用

- 全顎矯正治療(Ⅱ期治療) 700,000(税込 770,000)
- 便宜抜歯 1歯あたり 11,000 (計)2本 22,000

リスク・副作用

矯正治療では、痛みや口内炎、歯や歯ぐきへの影響、治療期間の延長や後戻りなどが生じる可能性があります。適切な通院とセルフケアが重要です。
20代 女性 【矯正治療】
  • 部分矯正+ラミネートベニア投稿
  • 部分矯正+ラミネートベニア投稿

治療内容

前歯のすき歯が気になる。できるだけ歯を削らず自然にきれいにしたいとのことで来院されました。部分矯正とラミネートベニヤを組み合わせ、見た目とバランスの改善を行いました。

治療期間・回数

- 部分矯正期間:6ヶ月 回数:月1回受診
- ラミネートベニヤ期間:1ヶ月 回数:2回

費用

- 部分矯正 100,000〜(部位や症例によって異なる)(税込 110,000〜) (計)220,000
- ラミネートベニヤ 130,000(税込 143,000) (計)286,000

リスク・副作用

部分矯正では、痛みや後戻り、歯根吸収や歯ぐきへの影響が生じる可能性があります。ラミネートベニヤでは、歯をわずかに削る必要があり、欠け・外れ・変色などが起こる場合があります。
20代 女性 【矯正治療】
  • 矯正治療
  • 矯正治療

治療内容

八重歯や前歯のガタガタが気になる、横顔をすっきり見せたいとのことで来院されました。便宜抜歯(4本)と全顎矯正を行い、歯並びとかみ合わせ、口元のバランスの改善を目指しました。

治療期間・回数

期間:2年2ヶ月 回数:月1回受診

費用

- 全顎矯正治療(Ⅱ期治療) 700,000(税込 770,000)
- 便宜抜歯 1歯あたり 11,000 (計)4本 44,000

リスク・副作用

便宜抜歯を伴う全顎矯正では、痛み・腫れ・出血・感染などが生じる可能性があります。また歯の移動に伴い、歯根吸収や歯ぐきの変化、後戻り、治療期間の延長などが起こる場合があります。